发布时间:2025-12-29 浏览: 次
近日,我院放射科凭借精准的CT影像诊断,为一名胃肠穿孔引发气腹的急诊患者赢得宝贵治疗时间。

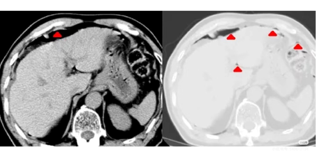
12月3日,66岁的马先生因腹痛到院就诊,急诊行全腹CT平扫检查。放射科徐柱荣副主任医师在阅片时敏锐发现,患者双侧膈下、胆囊窝、肝脾外缘旁、肝肾隐窝及盆腔等部位,均可见弧形、点状、短条状气体密度影,胃肠道内伴有少量液平面,当即确诊为胃肠穿孔并全腹腹水。考虑到病情凶险,需及时准确的诊断以指导后续治疗,放射科第一时间报危机值给主管医生,为临床诊断患者病情提供了重要的诊疗依据。
术后随访的病理结果显示,患者胃窦部前壁存在溃疡,有一个0.5cm×0.5cm的穿孔,穿孔处有胃内容物活动性溢出,量约150ml,部分胃壁与局部大网膜、肠管粘连,且局部组织披附白色脓苔,与放射科术前诊断完全吻合。
随后,影像科组织对此病例进行专题学习研讨。由徐柱荣副主任医师系统梳理气腹病因的多样性及影像诊断要点,他指出,胃肠道穿孔是气腹的常见诱因,但临床中也需警惕罕见病因,如气管切开术后气管破裂引发的气腹,此类病例会伴随颈部皮下气肿、纵隔气肿、气胸等复杂表现,需结合支气管镜检查及多学科会诊明确诊断;同时,高速创伤引发的假性气腹易被误判为脏器穿孔,其气体多位于双侧下六肋肋软骨交界处前方,需放射科医生结合病史仔细鉴别,避免不必要的手术干预。
影像技术是气腹诊断的“火眼金睛” 在气腹的诊断中,影像技术发挥着不可替代的作用。X线平片是研究腹痛患者常见的一线影像学资料,在诊断消化道穿孔时,膈下游离气体是其特征性表现。同时,CT还可以通过评价胃肠壁及周围组织,确定穿孔原因及相关疾病,为临床治疗方案的制定提供全面参考。
(放射科)